Dental Chiang Mai Clinic by CM Dental implant chiang mai center.
Free! consultation and pick up service
Tel: (+66) 053-266-557
Email:
[email protected]
CM Dental Chiang Mai Clinic
About US
Our Services
Dental Implant
Teeth Whitening
Dental Crown
Dental Bridge
Dental Veneers
Denture
Root Canal Treatment
Dental Fillings
Oral Surgery
Orthodontics Treatment
Filling Teeth Gap
Dental Price
News & Promotion
Testimonials
Message Testimonials
Video Testimonials
Make an Appointment
Map
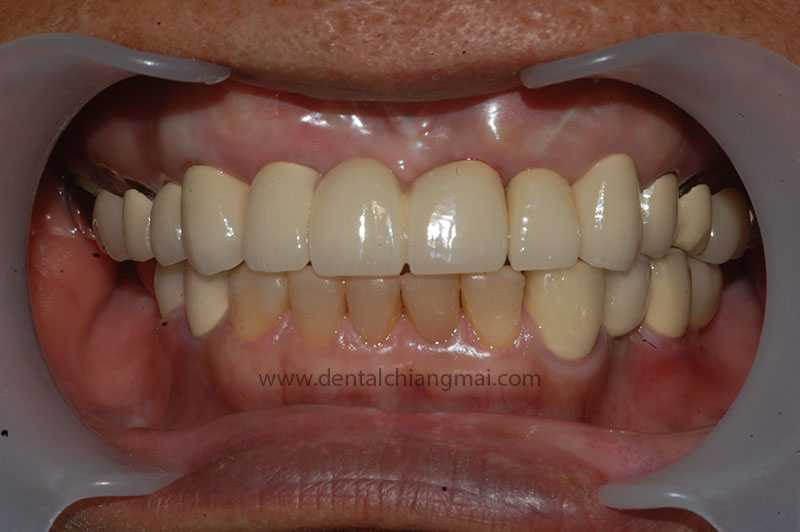
CASE 1 : 5 implants with 3 unit Bridges on upper front maxilla.
Before:
After: