Dental Implant in CM Dental Clinic Chiang Mai, Thailand.
What is an implant?
A dental implant is a small man-made titanium screw that serves as the replacement for the root portion of a missing natural tooth. The implant is placed in the bone of the upper or lower jaw and allowed to bond with the bone and serve as an anchor for the replacement tooth.
Dental implants can be used to replace a single lost tooth or many missing teeth. Implant supported replacement teeth look, feel and function like natural teeth. Dental implants are a proven restorative option with a long clinical history.
Dental implants preserve the integrity of the facial structure and reduce the inconvenience associated with tooth loss.
How tooth gaps are restored with dental implants
Single Tooth
A tooth and its root are missing.Multiple Teeth
Two or more teeth are missing.All Teeth
When all teeth are missing.Information from : straumann.com 
The procedure
From initial diagnosis and decision-making to the placement of the final restoration and aftercare – the stages of a dental implant therapy.
FAQs
How expensive is it? Does it hurt? How long does it take? Here you get the answers to questions you may have when it comes to dental implants.
Dental implants case by CM Dental Clinic have won the 1st prize "Prasan Award" Contest b TPDA & DGOI
Clinical Case 1
Planning : Immediate loading implant on #21 Implant Dentistry case by CM Dental Clinic
Extraction and immediate loading implant #21 with temporary crown
Clinical Case 2 :
Patient's Age : 61 years old Planning : Upper - Removable denture Lower – Implants #44,#45,#46,#47 - Implants # 35,#36 Filling ,Crown , etc
Final Day
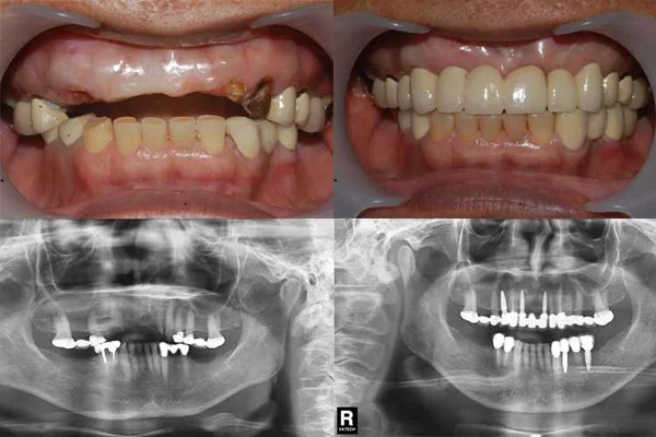
Clinical Case 3 :
Patient's Age : 83 years old Planning : Lower : Bar & clip on 2 implants support denture Upper : Old RPD
Final Day
Dental Implant Treatment cases
The followings are some of dental implant treatment cases by Implantologist Chiang Mai.